![]() |
|||
|
上腹部のリンパ節腫大ではまず胃や膵臓を始めとする上腹部臓器の悪性腫瘍からの転移を考えればよいが胃潰瘍などによる反応性の腫大や炎症による腫大が描出されることもある。 |
|||
|
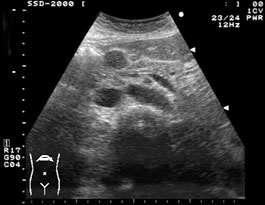
一見膵臓の腫瘍かとも思われたが,周囲の消化管に目を向けると,胃壁に著明な肥厚があることから,胃癌のリンパ節転移(#8)を疑った. 胃の周囲の腫大リンパ節は膵臓に隣接して描かれることがあり,膵腫瘍と紛らわしい画像となる. |
||
![]() |
腹腔内には、他にも多数の腫大したリンパ節が認められた. 矢頭は上腸間膜節(#14)である. 消化肝癌における転移性リンパ節腫大の検索は、腫瘍の広がりを知る上で重要である. |
||
|
企画・制作:超音波検査法フォーラム 協賛:富士フイルムメディカル株式会社 |
|||


