![]() |
![]() |
![]() |
![]() |
![]() |
![]() |
![]() |
![]() |
![]() |
![]() |
|
![]() |
|||
![]() |
![]() |
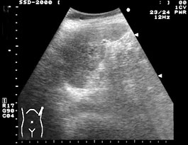
![]() 左側背部打撲による脾臓の鈍的外傷(挫傷)の症例. |
|
![]() |
|||
![]() |
![]() |
![]() 保存的治療による1週間後の超音波像である. |
|
![]() |
|||
企画・制作:超音波検査法フォーラム 協賛:富士フイルムメディカル株式会社 |
![]() |
![]() |
![]() |
![]() |
![]() |
![]() |
![]() |
![]() |
![]() |
![]() |
|
![]() |
|||
![]() |
![]() |
![]() 左側背部打撲による脾臓の鈍的外傷(挫傷)の症例. |
|
![]() |
|||
![]() |
![]() |
![]() 保存的治療による1週間後の超音波像である. |
|
![]() |
|||
企画・制作:超音波検査法フォーラム 協賛:富士フイルムメディカル株式会社 |