![]() |
|||
総胆管結石は、胆石と同様の音響陰影を伴う強エコーとして描出されれば典型的であるが、音響陰影に乏しいことやあまり強エコーに描出されないこともある。 |
|||
![]() |
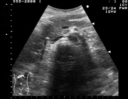
拡張した胆管を下流に向けて長軸方向に追うと,膵内胆管の中に結石を確認できた. |
||
![]() |
|
||
|
企画・制作:超音波検査法フォーラム 協賛:富士フイルムメディカル株式会社 |
|||
![]() |
|||
総胆管結石は、胆石と同様の音響陰影を伴う強エコーとして描出されれば典型的であるが、音響陰影に乏しいことやあまり強エコーに描出されないこともある。 |
|||
![]() |
拡張した胆管を下流に向けて長軸方向に追うと,膵内胆管の中に結石を確認できた. |
||
![]() |
|
||
|
企画・制作:超音波検査法フォーラム 協賛:富士フイルムメディカル株式会社 |
|||