![]() |
|||
![]() |
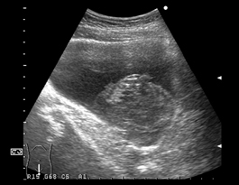
膀胱内に不整な内部エコーの腫瘍が映っている。膀胱に充分尿を溜め、体位を変えて移動が確認できれば腫瘍とは鑑別ができる。血腫は起源が膀胱とは限らず、腎盂など尿路上部からの大量出血でも形成される。 |
||
![]() |
膀胱の外側に壁と運続性した嚢状の膨らみがある。後天性憩室は肉柱形成と同様なもので、排尿障害の症例に見られる。憩室と肉柱が複数見られることが多い。一方、先天性憩室は平滑な膀胱壁に1〜2個認めることが多い。 |
||
![]() |
膀胱璧の後部から頂部にかけての内壁が不規則に隆起したような所見である。断面を移動させると隆起は方向により連続するように見える。肉柱は膀胱筋の肥厚と筋の間の壁の外側への膨瘤により形成される。前立腺肥大症や神経因性膀胱などの排尿障害の症例に見られる膀胱壁の変化である。 |
||
|
企画・制作:超音波検査法フォーラム 協賛:富士フイルムメディカル株式会社 |
|||



