![]() |
|||
![]() |
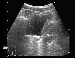
後方エコーの減衰を伴った結石は体位を変えると膀胱内で移動が観察される。膀胱壁に肉柱などの所見があれば尿停滞による膀胱原発結石の可能性を疑う。膀胱憩室や感染があると結石は多発しやすい。 |
||
![]() |
突然排尿障害が発症した症例で、前立腺部尿道に1cm大の結石の嵌頓を認めた。膀胱壁は平滑である。腎結石が落下したものと考えられる。落下結石の大半は自然排石される。 |
||
![]() |
排尿痛と血尿を主訴とする女性。経腹超音波検査で尿道口付近に小結石を認めた。尿道口は排尿筋があるため、縦断層で観察すると膀胱側に少し盛り上がってみえる部位である。女性は筋層が薄くわかりにくいこともある。 |
||
|
企画・制作:超音波検査法フォーラム 協賛:富士フイルムメディカル株式会社 |
|||



