![]() |
![]() |
![]() |
![]() |
![]() |
![]() |
![]() |
![]() |
![]() |
![]() |
|
![]() |
|||
![]() |
![]() |
![]() 膀胱三角部から左側壁に不整な腫瘍像を認める。腫瘍は左尿管に達し、閉塞により拡張した尿管が映っている。左腎は水腎症を呈していた。 |
|
![]() |
|||
![]() |
|||
![]() |
![]() |
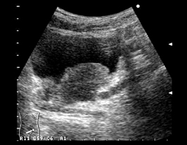
![]() 膀胱壁に乳頭状の腫瘤像がみえる。小さい腫瘍では尿潜血以外の所見を認めず、偶然見つかるケースも多い。膀胱内の尿量が不充分だと収縮した膀胱壁に隠れてしまう所見である。 |
|
企画・制作:超音波検査法フォーラム 協賛:富士フイルムメディカル株式会社 |
![]() |
![]() |
![]() |
![]() |
![]() |
![]() |
![]() |
![]() |
![]() |
![]() |
|
![]() |
|||
![]() |
![]() |
![]() 膀胱三角部から左側壁に不整な腫瘍像を認める。腫瘍は左尿管に達し、閉塞により拡張した尿管が映っている。左腎は水腎症を呈していた。 |
|
![]() |
|||
![]() |
|||
![]() |
![]() |
![]() 膀胱壁に乳頭状の腫瘤像がみえる。小さい腫瘍では尿潜血以外の所見を認めず、偶然見つかるケースも多い。膀胱内の尿量が不充分だと収縮した膀胱壁に隠れてしまう所見である。 |
|
企画・制作:超音波検査法フォーラム 協賛:富士フイルムメディカル株式会社 |