![]() |
|||
|
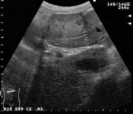
径1.5cmの低エコー腫瘤の一部に高エコー部分を含んでいる。 |
||
|
|
|||
|
|
高エコー結節の経過観察中にサイズの増大が認められ、内部に低エコー部が出現した。 |
|
|
|
|||
![]() |
モザイクパターンは結節型肝細胞癌に特徴的な所見のひとつである。 |
||
|
|
|||
![]() |
モザイクパターンは結節の増大にともない見られる頻度も高くなる。 |
||
|
企画・制作:超音波検査法フォーラム 協賛:富士フイルムメディカル株式会社 |
|||


