| 
                 | 
				
                 | 
				
                 | 
				
                 | 
				
                 | 
				
                 | 
				
                 | 
			
| 
                 | 
				
                 | 
			  
                              | 
              |
| 
             | 
		  |||
![]()  | 
			  
                         
                     
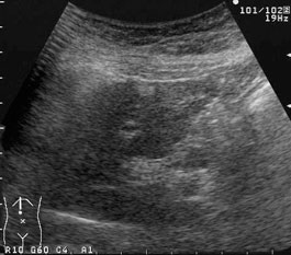
                    	血管腫に似た1cm程度の高エコー腫瘤像である。このような腫瘤を慢性肝炎の患者に見たら、まず肝細胞癌を疑う。  | 
          ||
| 
                
                 | 
			  |||
| 
                 | 
				|||
![]()  | 
			  
                 | 
                
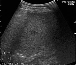
                 	C型肝炎患者の経過観察中に出現した低エコー結節。10数mm大の結節が2箇所見られる。  | 
					|
| 
					 企画・制作:超音波検査法フォーラム 協賛:富士フイルムメディカル株式会社  | 
			|||
              
