Chapter-2 腎腫瘤
腎盂癌
腎盂癌  

腎盂癌


肉眼的血尿の精査目的で検査した症例。腎盂拡張が軽度あり、腎盂の中には淡いエコーレベルの低い充実性エコーが見られる。本例では腫瘍自体は不明瞭だが、腎盂の部分的な拡張は腎盂癌を発見する糸口となる。


腎盂癌
 腎盂拡張
   
腎盂癌

腎盂癌


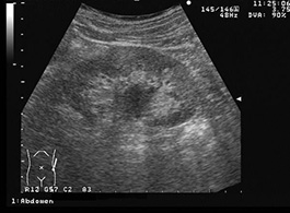
本例では中心部エコー内に低エコー域があるが腎盂拡張は見られない。腎盂癌でも必ず腎盂拡張があるわけではない。血尿などの臨床所見がある場合には慎重に評価する必要がある。


腎盂癌


   
腎盂癌

腎盂癌


腎盂から腎実質に浸潤した症例である。軽度の腎盂拡張がある。腎盂にある充実性エコーは腎実質に連続した不整形エコーとなっている。


腫瘍 腎実質への浸潤
   

企画・制作:超音波検査法フォーラム
協賛:富士フイルムメディカル株式会社