![]() |
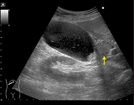
右季肋部痛を伴う胆嚢腫大は急性胆嚢炎の所見だが、総胆管結石の発作との判別が問題となる。本例のように胆管拡張がなく胆嚢頸部の嵌頓結石(矢印)が描出できれば、鑑別は可能である。 |
||
![]() |
胆嚢頸部に径45mmの結節型充実性腫瘤(矢印)がある。周囲の壁にも一部隆起が見られる。本例では胆嚢腫大の所見があるが、頸部癌では胆嚢が虚脱するケースもある。 |
||
企画・制作:超音波検査法フォーラム 協賛:富士フイルムメディカル株式会社 |
|||
![]() |
右季肋部痛を伴う胆嚢腫大は急性胆嚢炎の所見だが、総胆管結石の発作との判別が問題となる。本例のように胆管拡張がなく胆嚢頸部の嵌頓結石(矢印)が描出できれば、鑑別は可能である。 |
||
![]() |
胆嚢頸部に径45mmの結節型充実性腫瘤(矢印)がある。周囲の壁にも一部隆起が見られる。本例では胆嚢腫大の所見があるが、頸部癌では胆嚢が虚脱するケースもある。 |
||
企画・制作:超音波検査法フォーラム 協賛:富士フイルムメディカル株式会社 |
|||