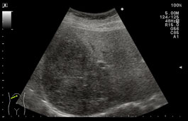
![]() |
肝内に1cm程度の低エコー小円形の腫瘤が多発し、境界はやや不明瞭である。小型の転移性腫瘍によく見られるエコー像である。本例は肺癌からの転移であった。 |
||
![]() |
肝内に多発する腫瘤は、中心部が高エコー、外側が低エコーで標的のような同心円状構造のため、ブルスアイパターンと呼ばれる。本例は胃癌患者の転移検索で発見された。 |
||
![]() |
腫瘍結節の外周を取り巻く低エコー帯をHaloという。本例は胃癌の転移で、haloは外方へにじみむように見える。Haloは肝細胞癌でもみられる所見だが、転移性肝癌のhaloは比較的幅が厚く、内側もしくは外側が不明瞭なことが多い。 |
||
![]() |
転移性腫瘍の内部エコーは、腫瘍一部の融解壊死による混合性エコーや中心部低エコーを呈するものが他の肝腫瘍に比べ多い。本例は中心部に液状壊死を有する胃癌の転移である。 |
||
![]() |
大腸癌の転移では腫瘤内に石灰化がみられることがあり、原発巣を予測する手がかりとなる。本例は直腸癌の転移で、点状高輝度エコーと淡い音響陰影を伴っている。 |
||
![]() |
胃癌の肝転移である。多くの結節が隣接し癒合して一塊となっている。クラスターサインと呼ばれ、転移性肝癌にみられるエコーパターンのひとつである。 |
||
![]() |
乳癌術後6年目にエコーで発見した転移である。肝右葉のほぼ全域のエコーレベルが低下し、内部エコーに乱れが見られるが結節は描出されない。浸潤性に広がった転移腫瘍では、このように不明瞭な形状を示すことがあるので注意が必要である。 |
||
![]() |
悪性黒色腫(皮膚癌)の治療経過観察中の患者に見られた肝転移である。4ヶ月前には2cm前後の腫瘤が複数見られたが、今回、病変は肝全体を埋め尽くすように瀰漫性に浸潤している。 |
||
![]() ![]() 腹腔鏡所見 |
肝表面近くにある肺癌からの転移巣である。肝表面がやや瘤状に盛り上がりその中央部に凹みがみられる。この所見は癌臍とよばれ、転移性肝癌にみられる所見のひとつである。 |
||
企画・制作:超音波検査法フォーラム 協賛:富士フイルムメディカル株式会社 |
|||









