Chapter-3 ドプラ法をマスターする 症例を通して心機能評価を理解しましょう。
症例/拡張型心筋症

左室Mモード


胸骨左縁長軸断面Mモードにて著明な収縮性の低下が認められる。

LVDd:65mm、LVDs:56mm、LVEF:28%、%FS:13%、LAD:51mmであった。

A-SMA


胸骨左縁短軸断面乳頭筋レベルにおけるA-SMA。ヒストグラムは各セグメントの内径短縮率を表しており、全体的に内径短縮率の低下を認める。
⇒収縮性の低下を意味する。

左室流入血流波形


左室流入血流波形パターン。

E/A:2.1、DcT:138msecと短縮しており拘束型を示している。

偽正常化の場合、左室流入血流波形のみでは正常との鑑別は不可能である。

各部の名称

肺静脈血流波形


肺静脈波形はS波の減高とD波の著名な増高が認められる。

収縮能が低下した症例では左室流入血流波形の正常化、偽正常化の鑑別に有用である。

各部の名称

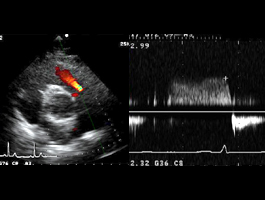
三尖弁逆流


三尖弁逆流の流速は収縮期の右室―右房間の圧格差を反映する。

本症例では67mmHgの圧較差が存在し、右房圧を10mmHgとすると77mmHgの肺高血圧が存在する。

各部の名称

肺動脈弁逆流


肺動脈弁逆流は拡張期の右室―肺動脈間の圧較差を反映する。

拡張末期の血流を計測することにより、肺動脈拡張期圧を推測できる。推定肺動脈拡張期圧は18mmHgとなる。

各部の名称

僧帽弁弁輪部組織ドプラ法


拡張早期心筋速度が7cm/secと低下、左室流入血流波形との比を見ると(E/E')16と高値である。

これは左室拡張末期圧の上昇を示唆している。


本症例は呼吸困難を主訴に心エコー図検査を受けられた患者である。呼吸困難を主訴とする依頼の場合、心不全であるのか、肺疾患によるものなのかを鑑別する必要がある。心不全の場合、左室拡張末期圧・左房圧の上昇を示唆する所見が認められるはずであり、その圧を推測する場合左室拡張能により推測するのが一般的である。左室流入血流波形は拘束型であり左室拡張末期圧の上昇を示唆している。左室流入血流波形E波を僧帽弁弁輪部組織ドプラ法で得られるE’(イープライム)で除した値は左室拡張末期圧と正相関するといわれ、本症例のE/E’は16と高値である。これは、左室拡張末期圧の上昇を示唆している。また、肺動脈弁逆流から得られた推定肺動脈拡張期圧も18mmHgと上昇しており、すべての指標で左室拡張末期圧(または左房圧=肺動脈楔入圧=肺動脈拡張期圧)の上昇が示唆された。また、左房や左室が拡張し三尖弁逆流からの推定右室圧により肺高血圧が認められ、慢性的な心不全が潜在していたことを示唆される。今までは心臓が代償していたが、今回何らかの新たなイベントにより代償不全に陥り呼吸困難症状を呈したと考えられる。

企画・制作:超音波検査法フォーラム
協賛:富士フイルムメディカル株式会社