橋本病(慢性甲状腺炎)
|
|||
![]() |
橋本病の甲状腺横断像。甲状腺全体が腫大していて、特に峡部の肥厚が目立つ。甲状腺は波打っていて、内部エコーは低下している。内部のエコーレベルの低下はリンパ球の浸潤を反映すると言われている。 |
||
![]() |
橋本病の甲状腺横断像。甲状腺はさほど大きくないが、峡部は相対的にやや厚い。甲状腺の辺縁は凸凹していて、内部エコーは周囲の筋肉と同等のエコーレベルに低下している。 |
||
![]() |
橋本病の甲状腺横断像。甲状腺は腫大し丸みを帯びていて、辺縁は凸凹している。内部エコーは低く不均一で、線維化を反映するといわれている線状高エコーが目立つ。 |
||
臨床症状を有する血中の甲状腺ホルモン過剰状態を甲状腺中毒症とよぶ。この中で甲状腺ホルモン産生、分泌能が亢進してホルモン過剰をきたしたものを甲状腺機能亢進症という。 |
|||
TSHレセプターにたいして結合能をもちホルモン産生を刺激する自己抗体により甲状腺全体がホルモン産生、分泌過剰をきたした状態で、甲状腺中毒症状のほかに眼球突出などの症状を呈する。 |
|||
|
|||
![]() |
バセドウ病の甲状腺横断像。甲状腺の両葉が腫大している。峡部の肥厚は目立たない。内部エコーは低下している。特に辺縁部のエコーレベルの低下が目立つ。 |
||
![]() |
バセドウ病の甲状腺右葉縦断像。側葉は非常に大きく、内部エコーは低い。線状の高エコーもみられる。辺縁の凸凹が目立たず、辺縁部のエコーレベルの低下が目立つこと以外は橋本病との区別が難しい。 |
||
![]() |
バセドウ病の右葉縦断カラー・ドプラ像。甲状腺全体の血流信号が増加して認められる。治療がうまくいけば、甲状腺の体積と血流は減少するがエコーレベルの低下は残る場合があると言われている。 |
||
![]() |
亜急性甲状腺炎の甲状腺横断像。甲状腺に腫大は認めない。両側葉に不規則に低エコー域が認められる。低エコー域は通常、被検者が圧痛を訴える部位に一致している。 |
||
![]() |
亜急性甲状腺炎の甲状腺縦断像。 |
||
|
|||
![]() |
腺腫様甲状腺腫を伴った甲状腺横断像。甲状腺は非常に大きく(特に右葉)、コンベックス型探触子を用いている。両葉に結節が多発しており、嚢胞性変化を伴うものもある。 |
||
![]() |
腺腫様甲状腺腫を伴った甲状腺左葉縦断像。左葉中下部に楕円形の低エコー腫瘤(矢印)を認める。内部エコーは均一。組織学的検索では被膜が不完全で、腺腫様結節と診断された。超音波像からは腺腫との鑑別は難しい。 |
||
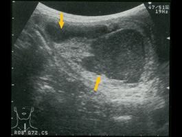
![]() |
腺腫様甲状腺腫を伴った甲状腺左葉縦断像。左葉中下部に楕円形の大部分が嚢胞性となった結節(矢印)を認める。嚢胞性の変化が大きな場合には、どちらかというと腺腫よりは腺腫様腺腫であること多い。 |
||
![]() |
濾胞腺腫を伴った甲状腺左葉横断像。境界部低エコー帯を有し、内部に一部小さな嚢胞性変化を伴う。円形の等エコー結節(矢印)を認める。 |
||
![]() |
濾胞腺腫を伴った甲状腺左葉横断像。内部に大きな嚢胞性変化を伴う楕円形の結節(矢印)を認める。組織学的検索で、濾胞腺腫であった。超音波像から腺腫様甲状腺腫と区別するのは難しい。 |
||
企画・制作:超音波検査法フォーラム 協賛:富士フイルムメディカル株式会社 |
|||












